Book Now
Book Now

General Dentistry

Aluer Aesthetic & Dental Clinic

Dental Filling

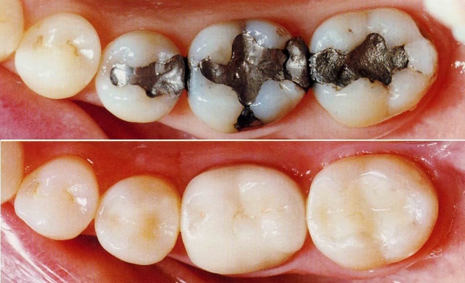
Dental Fillings are a reliable solution for restoring teeth affected by cavities or minor fractures. They help rebuild the damaged area, stop further decay, and maintain the strength and shape of the natural tooth.

At Aluer Aesthetic & Dental Clinic, we offer various types of filling materials based on your dental needs, including tooth-colored composite resins, glass ionomer cement, and amalgam in select cases. Composite fillings are the most popular option, as they blend beautifully with your natural enamel and provide strong, aesthetic results. Glass ionomer is often used in areas with less biting pressure, especially in children, while amalgam may be considered for its durability in back teeth under heavy force.

Using modern, minimally invasive techniques, we remove decay with precision and place the filling with care and accuracy. The result is a durable, well-bonded restoration that restores both function and appearance, often completed in a single visit.

Dental fillings not only repair the tooth but also protect it from future problems. With proper hygiene and regular checkups, these restorations can last for many years.

We ensure every procedure is comfortable by using gentle numbing techniques and creating a calm environment. Our team will also guide you on aftercare and monitor the condition of all restorations during routine exams. Whether it's your first filling or a replacement, you’re in skilled hands.

Book an Appointment