Book Now
Book Now

General Dentistry

Aluer Aesthetic & Dental Clinic

Gum Disease Treatment

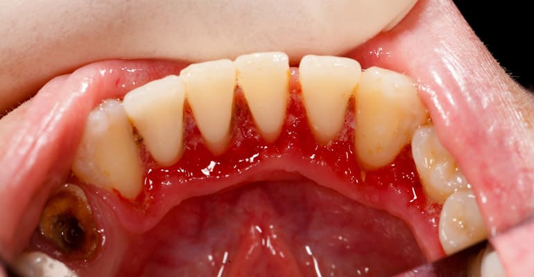
Gum Disease Treatment plays a vital role in preserving the structure that supports your teeth and safeguarding long-term oral health. What begins as mild inflammation can quickly progress into more serious conditions affecting the bone and tissues if not addressed early.

Treatment plans are tailored based on the stage and severity of the condition. Initial care often involves thorough cleaning below the gumline, known as scaling and root planing, which removes harmful plaque and tartar. In many cases, advanced tools like laser therapy are used to reduce bacteria and encourage the healing of inflamed tissue.

For those dealing with ongoing or advanced symptoms, long-term maintenance programs are designed to stabilize gum health. These may include regular deep cleanings, antimicrobial rinses, and close monitoring to detect any changes. Clear guidance is also provided to support better daily care at home, such as brushing techniques, flossing habits, and nutritional advice.

Common warning signs like gum redness, swelling, bleeding, persistent bad breath, or recession should never be ignored. Addressing these early can prevent permanent damage, reduce the need for invasive procedures, and keep your smile strong and healthy.

This type of care also benefits overall wellness, as untreated gum infections have been linked to broader health risks like cardiovascular conditions and blood sugar imbalances. With timely attention and consistent care, healthier gums are well within reach, protecting both your smile and your general well-being.

Book an Appointment